
Not everyone knows what arthrosis is, so people are confused in treatment methods and do not understand the principles of diagnosis of pathology.Arthrosis is a severe dystrophic disorder that provokes the lesion of cartilage tissues in the intra -articular cavity.The complexity of therapy is related to the irreversibility of the processes, it is not possible to achieve complete cure within modern medicine, but the severity of the symptoms can be reduced and the progression of pathology can be delayed.With proper treatment, one continues the usual lifestyle for a long time.
What is arthrosis?
Similarly, it is simply that for the disease, arthrosis is a disease of the joints, which provokes limiting the amplitude of movement and pain.In the first stage of damage, there are no manifestations, to have a slight weight and to wash.It gradually progresses the pathology, this is facilitated by changes associated with age in the body, stress, injuries, etc.According to statistics, about 80% of the population over 60 years of arthrosis.
The arthrosis of the joint develops for a long time, initially affecting only hyaline cartilage, then spreads into the bones, includes the synovial sheath, the muscles and the entire capsule of the joints.In the first or early stage of arthrosis, the lesion manifests itself slightly: small pain after hard work, swelling, redness of the skin.Due to ignoring uncomfortable sensations, the joint is deformed, inflamed, carries severe pain, their peak falls in the morning.The disease is characterized by the disappearance of pain after the development of the joint.If left untreated, one completely loses the mobility of the joint.

There is a primary and secondary form of arthrosis.Pseudoatrosis (neoarthrosis) is also distinguished- not many people know what it is because it is less frequently formed by other varieties.Neoarthrosis is a false joint so that cartilage tissue increases in an unusual place where damage is caused.It is difficult to treat, mainly surgically.
There is pathology due to impaired regenerative function, immunity or mechanical damage.For various reasons for cartilage, it gets smoother.In normal condition, cartilage tissue receives sufficient nutrition for recovery, but after excessive exercise or due to impaired metabolic processes, tissues do not have time to regenerate.In the first stage, joint mobility remains.After considering what arthrosis is as a definition, it is worth it to deepen more and more in the development of pathology.
The mechanism of development of arthrosis, its species
Many varieties of arthrosis develop according to a similar scheme:
- The primary lesion affects hyaline cartilage.In the case of blood disorders, there is a deterioration of pathological power.This is the first step or cause that can occur arthrosis.
- Pathologies of hyaline coating.The thinning of cartilage leads to the replacement of its pathological tissues - bone structures.
- Anomalous growths appear on cartilage - osteophytes.
- The emerging violation of the natural anatomy of cartilage and bones provokes the overload of healthy cartilage areas.The destruction of joint tissues without treatment is constantly progressing and leads to damage.
When the degree of disease increases, the pathological processes still deteriorate.In the end, all the cartilage of hyaline is destroyed.
The last degree of disease leads to:
- Participation in the pathological process of bones, below and above cartilage surfaces;
- Irritation of a joint shell, limiting mobility, leading to damage to 2 degrees;
- increased capsule density;
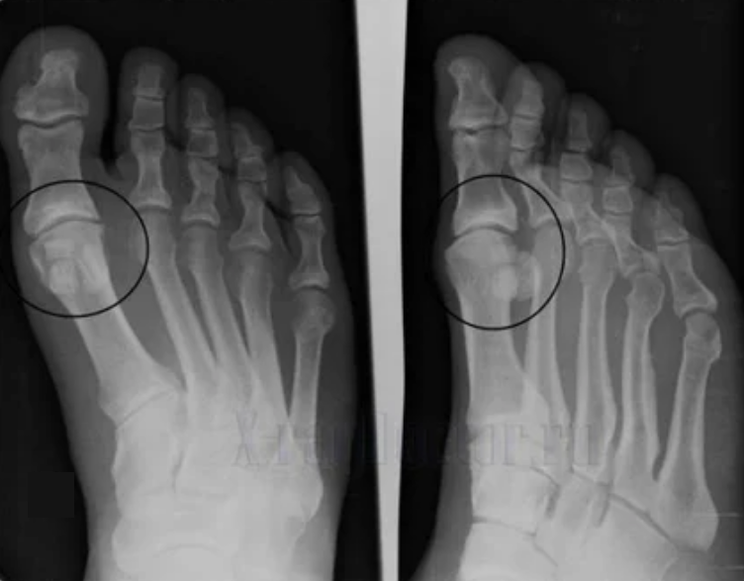
- Reducing the gap in the gap of the joint, which becomes noticeable in the photo.The stage of the violation is determined by the diagnostic tantegenologist.The patient feels the complexity or inability to fully straighten and bend the limb;
- Deformation of the joint, cartilage takes on an irregular shape, provoking curvature;
- worsening in the patient's condition with complete destruction of the joint.
Stages of arthrosis
The joint disease has 3 stages of development:

- Grade 1.Morphological disorders have already begun, but they are not yet noticeable.The pathology mainly affects the condition of the synovial fluid, which worse supplies cartilage tissues with nutritional components, reducing cartilage power.The load on the joints causes inflammation and pain.
- Stage 2. Due to the supply deficit, the necessary cartridges are destroyed, bone growths are formed on the surface of the cartilage.The pain is more pronounced, increased after a long break, is eliminated by little physical labor.The pain is accompanied by inflammation.The muscles are stretched, leading to weak or medium -impaired motor functions.
- 3 degrees.Often there is pain, it is difficult to move the limb due to changes in the joint.The lesions are extensive, becoming noticeable for the naked appearance.There is a deformation in the joint place, the affected area swells and becomes red.The axis of the limbs is disturbed, leading to the complexity of the movement.Pathological changes cause shortening.Shrubs and contractures appear.The adjacent muscles are shortened or stretched, from which the contractile function is weakened.
Causes and risk factors for the development of arthrosis
The causes of arthrosis of the joints differ depending on the form of pathology.Deformative arthrosis of the elbow joint, ankle arthrosis and shoulder arthrosis sometimes develop without noticeable reasons, it is possible to detect with a doctor in rheumatology.If the problem has not been preceded by visible pathologies, the disease is called primary.The secondary form of disorder is mainly diagnosed, may provoke different conditions.
The main reasons for development:
- Mechanical damage: dislocations, fractures, stretching, meniscus injuries;
- A number of endocrine disorders associated with malfunction in immunity;
- pathologies of metabolism;
- dysplasia (congenital anomalies of joint tissues);
- suffered inflammation of the joints;
- Pathologies leading to high mobility of the joints and weakening of connections.
Patients with arthrosis most commonly occur disease due to predisposing factors:
- Age -related changes;
- Light weight and increased BMI.The heavy load on the joint leads to rapid wear of the joints;
- lack of nutrients;
- Excessive joint load.The reason is intensive training, sports, hard physical work;
- Difficult working conditions or incorrect approach to sports.If there is a history of a genetic tendency for damage, joint injuries or similar diseases, it is important to stick to a special training program, avoiding traumatic and difficult exercises;
- The postoperative recovery period or transmitted complex operations related to the cutting of a large share of the affected tissues.Such conditions adversely affect the smoothness and force of cartilage, the load must be minimized;
- Genetic tendency, arthrosis is more diagnosed with patients with relatives with the same pathology;
- The postmenopause stage occurs in women for about 50 years, is associated with changes in the endocrine system;
- the destructive effect of toxins;
- poor environmental position in the area of residence;
- Common damage to the joint, sometimes microbots do not appear for a long time;
- hypothermia;
- Pathology of the lumbar and cervical part of the spine.
Primary arthrosis

Primary arthrosis is formed independently, that is, without the influence of internal or external causes.The defeat develops through the cartilage of hyaline quite slowly.It is rarely diagnosed, it represents only 3-5% of all cases.
Secondary arthrosis
Secondary arthrosis is most commonly detected by order of 95-96% of cases.They are provoked by any of the above pathologies.
Signs and symptoms of arthrosis
The manifestations of the disease vary slightly depending on the location, more often the signs affect the knees, shoulders and hip joints due to the high load.
Mostly complaints are reduced to:
- pain.They have a low severity at the initial stage, and the deterioration of the condition of the sensation intensifies.Initially, the joints only hurt after waking up, after a slightly warm, the sensations disappeared.Over time, the pain occurs at night, they significantly disturb during and after long walking, running, etc.In the last stage, the pain syndrome pursues a person all the time;
- Restricted movement amplitude.The stiffness of actions shows anatomical changes in the structure.At first it manifests itself in the morning, then daily movements are limited.In order not to cause the condition to be aggravated, the work must be varied and light, otherwise the patient will not be able to unbutton and squeeze the limb over time.Over time, there is a risk of negotiation that one loses motor capacity;
- Crown during movements - it belongs to the non -specific manifestations of arthrosis.The disease is characterized by the onset of crunch in one joint (except polyarthrosis), accompanied by discomfort, pain and limited action.The nature of the current is similar to the wave - in the beginning it manifests itself weakly, gradually increases, but at 3 stages it disappears;
- Swelling with redness.It is located near the diseased joint, this indicates an inflammatory process and progression of the disease.The doctor understands that the synovial sheath is affected, this provokes fluid accumulation and increased pain;
Deformations of the limbs.It occurs in a neglected form of the disease, indicates the complete destruction of cartilage tissue and the appearance of osteophytes.In this state, the pressure on the joints from above and floor increases, from which the curvature can affect the entire limb.
It is important to remember that deformity of the bones of the leg is often confused with corn.The symptom is slightly dangerous at first glance, but has serious consequences.
Complications
Initially, conservative therapy methods were used for treatment.If they are ineffective or the patient ignores the doctor's recommendations, there is a risk of consequences.
Possible complications:
- The joint is completely destroyed;
- The limb is immobilized, all movements become extremely difficult;
- intervertebral hernias;
- damage;
- Strong deformation of the joint or entire limb.
Diagnosis of arthrosis
To diagnose, rheumatologists study the patient's complaints and prescribe an X -ray examination.Most often, radiography is used in 2 projections.The doctor considers the presence of dystrophic disorders in hyaline cartilage and bone joints.If the joint is reduced, the bones are deformed or flattened, there are cystic formations on the surface of the cartilage, osteophytes are obvious signs of arthrosis.During the inspection, arthrosis shows the instability of the joint: the axis of the limbs and subluxation is disturbed.

Often an X -ray picture is not able to provide complete information about the condition of the joint.Computed tomography is prescribed for a more in -depth study, it is effective for bone examination.MRI is used more frequently to examine soft tissues.
During the diagnosis, the participation of other specialists is practiced to help determine the root cause of the pathology.They often consult a hematologist, endocrinologist, gynecologist, orthopedic.
Modern treatment
There are hundreds of ways to therapy with arthrosis, but they all come down to a number of methods:
- Treatment with medicines.The main task is to combat the symptoms and prevent the disruption of a disorder.Most often, analgesics are used to relieve pain, non -steroidal anti -inflammatory drugs to combat inflammation, hormonal drugs are prescribed for severe pain and acute inflammation.Each course is based on chondroprotectors that protect cartilage tissues from destruction, natural substances are used for their production;
- Physiotherapy.Increases the effectiveness of drugs, fights inflammation, relieves symptoms, accelerates tissue regeneration.Most often it uses ultrasound, electrical, magnetic, laser therapy.This includes mud baths, applications with natural materials, radon baths;
- Medical physical education.It is useful both in prevention and as facilitating the condition.After proper exercise, it is possible to completely eliminate the pain.It is useful to visit the pool, get involved in yoga and often walk;
- Manual therapy, massage will help to treat the disease as they contribute to preventing the curvature of the joints.After injury, the man's therapist is able to level the joint, preventing it from fixing it in the wrong position.After massage, muscle tone increases, blood circulation accelerates;
- Proper nutrition.A healthy diet will help enrich the body with cartilage nutrients and reduce body weight.Large mass increases joint wear;
- Treatment with sanatorium-rack will enhance the joints.The healing of sanatoriums offers balneotherapy, exercises, physiotherapy procedures, etc.;
- Non -traditional therapy.For the treatment of arthrosis, huts, naturo-, AF- and herbal remedies, as well as acupuncture and various folk recipes;
- Surgical intervention is the only way to return to the usual life of the third stage of the disease.Endoprotetic allows you to replace the patient's cartilage with the implant.The only downside to the operation is the high price.One procedure is sufficient for 15-20 years.
Preventive measures
So the arthrosis of the joint does not worry in the elderly, stands:
- maintain a healthy lifestyle;
- Prevention of heavy loads;
- Observe a diet;
- exclude bad habits;
- Perform gymnastics daily;
- Follow the weight.
Arthrosis is a dangerous disease that is much easier to prevent than to cure.With the timely search for a doctor and compliance with the rules of treatment, the patient will be able to maintain a familiar lifestyle for a long time.Lack of therapy and self -esteem cause the rapid worsening of the disease and ultimately damage.























